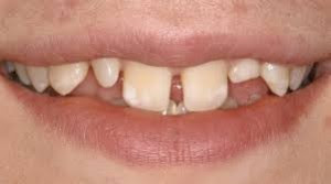
Trường hợp đầu tiên phải kể đến khi nhắc tới răng xấu là răng mọc chen chúc hay còn được gọi là răng lệch lạc. Những bạn sở hữu hàm răng bị lệch lạc rất dễ nhận thấy răng cái xô vô trong, cái vểnh ra ngoài, thậm chí là xoay trục răng khiến răng trông như bị thừa, rất mất thẩm mỹ. Thực ra hàm răng của người chỉ có 28 chiếc răng bình thường và 4 răng khôn (có thể mọc răng khôn hoặc không) vì vậy không thể có răng thừa trừ những ai bị bệnh liên quan đến loạn canxi, ung bướu bất thường.
 |
| Răng mọc lêch lạc chen chúc, thiếu tính thẩm mỹ |
Hàm răng chen chúc thường khiến người bệnh không chỉ cười thiếu tự tin mà còn gặp nhiều vấn đề trong cắn xé ăn nhai vì hệ thống hàm răng bị lệch lạc quá mức. Việc điều trị chỉnh nha để có hàm răng đẹp và dễ ăn uống là việc cần thiết.
Trường hợp 2. Răng khểnh
Răng khểnh là một loại răng xấu, theo đó tình trạng răng lệch lạc mà răng số 3 (răng nanh) bị lệch ra khỏi cung răng. Răng khểnh có thể khiến cho chủ nhân được coi là “có duyên” hoặc “vô duyên”. Răng khểnh được khá nhiều người ưa thích và cũng không ảnh hưởng nhiều đến toàn bộ hàm răng.
 |
| Răng khểnh có thể đem lại nét duyên thầm cho bạn nhưng cũng có thể làm mất đi tính thẩm mỹ, ảnh hưởng tới toàn bộ hàm răng |
Tuy vậy, có một số trường hợp răng khểnh gây nên vấn đề răng bên cạnh bị xô lệch vào trong khiến cho nụ cười kém xinh và dễ bị sâu răng, hư răng, ảnh hưởng ăn uống. Do đó, nếu răng khểnh gây hại đến răng bên cạnh thì việc chỉnh nha là cần thiết, nếu không ảnh hưởng bạn vẫn có thể giữ lại “nét duyên thầm” đáng yêu này.
Trường hợp 3: Răng thỏ (Răng cửa trên quá to)
Răng thỏ là 2 chiếc răng cửa chính phát triển quá to so với những răng xung quanh. Răng thỏ có thể làm nên “nét duyên” cho bạn nhưng nếu răng to quá hoặc dài quá sẽ gây chèn ép các răng xung quanh, làm mất cân đối hàm răng. Do đó, nếu răng thỏ quá lớn hay quá dài, để cải thiện tình trạng răng xấu, bạn nên chỉnh nha để răng đều với các răng xung quanh. Không chỉ là thẩm mỹ, răng cửa hợp lý còn giúp việc cắn thức ăn dễ dàng hơn.
 |
| Răng thỏ là trường hợp 2 răng cửa chính phát triển quá to so với những răng xung quanh |
Trường hợp 4: Răng chuột (Răng nhỏ quá so với răng xung quanh):
 |
| Hàm răng chuột với các răng to nhỏ khác nhau |
Răng chuột hay còn gọi là răng quá nhỏ thường xuất hiện khi răng bên cạnh quá lớn gây chèn ép khiến răng không mọc lên được đầy đủ, chấn thương nào đó khiến răng bị sứt mẻ nên răng không thể có kích cỡ bằng những răng xung quanh. Người có răng chuột thường sở hữu hàm răng gặp tình trạng nhiều răng to nhỏ khác nhau trên 1 cung răng, hàm răng thưa rất mất mỹ quan. Việc chỉnh nha chữa răng xấu là cần thiết đối với hàm răng bị tình trạng răng to nhỏ lung tung, nhưng nếu chỉ có 1 chiếc răng chuột thì bạn hoàn toàn có thể chỉ cần nhổ bỏ chiếc răng đó đi.
Trường hợp 5: Răng thưa (Giữa các răng có khoảng hở):
Răng thưa là tình trạng giữa các răng có khoảng hở do răng quá nhỏ hoặc cung răng dài hơn so với số lượng răng hay bị mất răng vì nguyên nhân vào đó. Răng thưa khiến thức ăn dắt vào răng hay không được nghiền nhuyễn gây dễ bị sâu răng và bệnh đau dạ dày. Răng thưa có thể đi kèm với răng chuột, răng to nhỏ khác nhau trên cùng 1 cung răng gây mất thẩm mỹ nghiêm trọng.Dođó, chỉnh nha để răng khít vào nhau là việc cần thiết.
 |
| Khoảng cách giữa các răng quá xa |
Trường hợp 6: Răng cá mập (Hai hàm răng):
Răng cá mập là tình trạng hiếm gặp. Những ai bị tình trạng này thường có biểu hiện hàm răng sữa bên ngoài và hàm răng vĩnh viễn bên trong. Nguyên do là răng vĩnh viễn mọc trước khi răng sữa rụng khiến chúng phải tìm vị trí khác để nhô lên dẫn đến lệch lạc vị trí gây ra bệnh “răng cá mập”. Răng cá mập có thể chỉ bị một vài răng hoặc cả hàm răng. Nếu bị răng cá mập, bạn cần được theo dõi sát sao và chỉnh nha hợp lý để hàm răng vĩnh viễn về đúng chỗ.
 |
| Răng cá mập có biểu hiện là hàm răng sữa bên ngoài và hàm răng vĩnh viễn bên trong. |
Trường hợp7: Răng ma cà rồng (Răng nanh dài hoặc chỉ có vài răng trên cung răng, cung răng trống):
Răng ma cà rồng chỉ là 1 cách nói vui, liên tưởng đến nhân vật nổi tiếng này nhằm làm mọi người dễ hình dung hơn thôi. Những ai bị tình trạng răng ma cà rồng thường có biểu hiện răng nanh mọc quá dài hoặc cung răng gần như không có răng, chỉ có 1 vài cái do di truyền hay bệnh nào đó ảnh hưởng đến quá trình mọc răng.
 |
| Răng ma cà rồng thường có biểu hiện răng nanh mọc quá dài hoặc cung răng gần như không có răng |
Với trường hợp răng nanh dài có thể chỉnh nha rất dễ dàng để răng có độ dài phù hợp, thẩm mỹ cao và dễ ăn uống. Với trường hợp thiếu răng quá nhiều hay không có răng thì việc chỉnh nha khá phức tạp, bao gồm việc trồng thêm răng gây tốn kém nhiều và mất thời gian nhưng rất cần phải làm để không ảnh hưởng đến việc ăn uống.
Trường hợp 8: Răng nanh ngầm:
 |
| Răng nanh ngầm chỉ lộ một phần nhỏ ra ngoài |
Răng nanh ngầm là tình trạng phổ biến thứ 2 trên thế giới về các loại răng ngầm. Răng ngầm được hiểu là răng nằm hoàn toàn trong xương hàm hoặc chỉ lộ một phần nhỏ ra ngoài, chỉ có thể thấy đầy đủ chiếc răng qua phim x-quang. Răng ngầm thường gây hiện tượng chen chúc răng hoặc thiếu răng trên cung hàm do răng không mọc và gây chèn ép các răng xung quanh. Việc chỉnh nha cho trường hợp răng nanh mọc ngầm khá phức tạp nhưng cần phải làm vì răng nanh là răng quan trọng cho việc xé thức ăn.
Trường hợp 9: Răng khôn mọc ngầm:
Răng khôn mọc ngầm đứng thứ 1 thế giới về tình trạng răng mọc ngầm, do cung răng đã đủ chỗ. Răng khôn là loại răng gây ra nhiều biến chứng. Đặc biệt đối với vấn đề “hàm răng xấu”, ảnh hưởng của răng khôn là làm cho các răng phía trước bị lệch gây nên tình trạng sai khớp cắn.
 |
| Răng khôn mọc ngầm gây ra nhiều biến chứng |
Với răng khôn mọc ngầm, rất cần nhổ bỏ răng khôn và tiến hành chỉnh nha để có hàm răng khỏe đẹp.
Trên đây là những kiểu “hàm răng xấu” thường gặp. Nếu bạn đang mắc phải trường hợp nào thì hãy đến ngay các trung tâm nha khoa để được tư vấn và lựa chọn phương pháp chỉnh nha thẩm mỹ phù hợp.
Comments[ 0 ]
Đăng nhận xét